Calcinosis cutis
Other namesCutaneous calcification
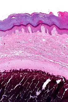
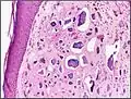
Micrograph of calcinosis cutis. The calcification is purple (bottom of image). H&E stain.
SpecialtyDermatology Edit this on Wikidata

Calcinosis cutis is a type of calcinosis wherein calcium deposits form in the skin. A variety of factors can result in this condition. The most common source is dystrophic calcification, which occurs in soft tissue as a response to injury. In addition, calcinosis is seen in Limited Cutaneous Systemic Sclerosis, also known as CREST syndrome (the "C" in CREST).[1] In dogs, calcinosis cutis is found in young, large breed dogs and is thought to occur after a traumatic injury.

Causes

Calcinosis may result from a variety of causes such as:

Calcinosis cutis is associated with systemic sclerosis.

Diagnosis

Types

Calcinosis cutis may be divided into the following types:[2]:527–530

Treatment

Intralesional corticosteroids may be beneficial. Colchicine has been shown to be effective in certain populations. The efficacy of other treatments, such as magnesium or aluminum antacids, sodium etidronate, diphosphonates and diltiazem is unclear, but they have been reported to be serviceable in refractory calcinosis. Surgical options may be considered, particularly if there is associated ulceration.

See also

References

  1. "CREST syndrome: MedlinePlus Medical Encyclopedia Image". medlineplus.gov. Retrieved 2023-02-12.
  2. James, William D.; Berger, Timothy G.; et al. (2006). Andrews' Diseases of the Skin: clinical Dermatology. Saunders Elsevier. ISBN 978-0-7216-2921-6.


This article is issued from Wikipedia. The text is licensed under Creative Commons - Attribution - Sharealike. Additional terms may apply for the media files.