| Goblet cell carcinoid | |
|---|---|
| Other names | Crypt cell carcinoma, neuroendocrine tumour with goblet cell differentiation |
![]() | |
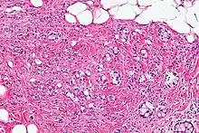
| Micrograph showing a goblet cell carcinoid. H&E stain. | |
The goblet cell carcinoid (GCC) is a rare biphasic gastrointestinal tract tumour that consists of a neuroendocrine component and a conventional carcinoma, histologically arising from Paneth cells.[1]
Sign and symptoms
GCCs may present as appendicitis.
Diagnosis

Micrograph of a goblet cell carcinoid. H&E stain.
GCCs are diagnosed by pathology. They have a characteristic biphasic appearance which includes (1) goblet cell-like cells, and (2) neuroendocrine-type nuclear chromatin (stippled chromatin).
Prognosis
GCCs have an aggressive course compared to other appendiceal neuroendocrine tumours.[1]
Treatment
GCCs are treated with surgery.
See also
References
External links
Wikimedia Commons has media related to Goblet cell carcinoid.
This article is issued from Wikipedia. The text is licensed under Creative Commons - Attribution - Sharealike. Additional terms may apply for the media files.
