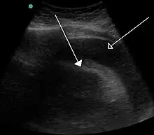
A very large hemorrhagic pericardial effusion due to malignancy as seen on ultrasound which was causing tamponade. closed arrow: the heart, open arrow: the effusion

Tamponade (/ˌtæm.pəˈnd/[1]) is the closure or blockage (as of a wound or body cavity) by or as if by a tampon, especially to stop bleeding.[2] Tamponade is a useful method of stopping a hemorrhage. This can be achieved by applying an absorbent dressing directly into a wound, thereby absorbing excess blood and creating a blockage, or by applying direct pressure with a hand or a tourniquet. There can, however, be serious consequences when a tamponade occurs as a result of health problems. For example: cardiac tamponade is a condition where fluid collects in the pericardial sac increasing pressure within the pericardium which in turn prevents the ventricles from expanding fully significantly reducing the efficiency of the heart. It is considered a medical emergency and if left unchecked is fatal.

Bladder tamponade is obstruction of the urinary bladder outlet due to heavy blood clot formation within it.[3] It generally requires surgery.[3] Such heavy bleeding is usually due to bladder cancer.[4]

Pressing bone wax into bleeding bone is considered hemostasis by tamponade, as opposed to methods which physically or biochemically activate the clotting cascade.

Gas tamponade has been used for retinal detachment surgery, helping reduce the rate of fluid flow through retinal tears. Research suggests that patients undergoing surgery with tamponade agents of C3F8 gas and standard silicone oil had the best visual and anatomic outcomes, over other tamponade agents.[5]

References

  1. "TAMPONADE | Meaning & Definition for UK English". Lexico.com. Archived from the original on March 4, 2021. Retrieved 2022-08-24.
  2. "Tamponade - Definition". Retrieved 1 June 2011.
  3. 1 2 Page 352 in: Guenter Schmidt (2006). Differential diagnosis in ultrasound: a teaching atlas. Stuttgart: Thieme. ISBN 978-3-13-131891-6.
  4. Miyamae, K.; Otsuka, T.; Otsuka, Y.; Nagayoshi, M.; Hamada, Y. (2006). "Clinical study of bladder tamponade resulting from clots of blood". The Japanese Journal of Urology. 97 (5): 743–747. doi:10.5980/jpnjurol1989.97.743. PMID 16898598.
  5. Schwartz, Stephen G.; Flynn, Harry W.; Wang, Xue; Kuriyan, Ajay E.; Abariga, Samuel A.; Lee, Wen-Hsiang (13 May 2020). "Tamponade in surgery for retinal detachment associated with proliferative vitreoretinopathy". The Cochrane Database of Systematic Reviews. 2020 (5): CD006126. doi:10.1002/14651858.CD006126.pub4. ISSN 1469-493X. PMC 3729221. PMID 32408387.
This article is issued from Wikipedia. The text is licensed under Creative Commons - Attribution - Sharealike. Additional terms may apply for the media files.